A 12 year old female comes to your office with her mother because of a slightly raised painless rash which developed yesterday morning. She notes swollen joints, palpitations, and jerky uncontrolled movements. You discover that she is visiting from Argentina and had a sore throat and fever 3 weeks prior. She has a temperature of 103.1 in the office today.
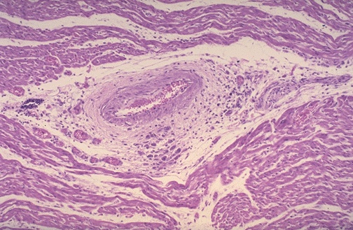
Below are tissue sections from heart biopsy.
What key features are present in the biopsy specimens?
1
What is the diagnosis?
What is the pathogenesis?
What are the Jones criteria for RF? What do you need for diagnosis?
Major Criteria:
Minor:
What organism would grow following cardiac culture?
The patient returned after several more episodes of rheumatic heart disease and died from complications from heart failure. Autopsy specimens are shown below:
What key findings are present in the autopsy specimens?
What valves are typically affected in rheumatic heart disease?







No comments:
Post a Comment
Note: Only a member of this blog may post a comment.